Imaging Biomarkers for Alzheimer’s Disease Using Magnetic Resonance Microscopy
BIAC co-authors Alex Badea (lead) and Jacques Stout have a book chapter "Imaging Biomarkers for Alzheimer’s Disease Using Magnetic Resonance Microscopy" published in a new edited volume Magnetic Resonance Microscopy: Instrumentation and Applications in Engineering, Life Science, and Energy Research from Wiley.
An iPRES-W Coil Array for Simultaneous Imaging and Wireless Localized B₀ Shimming of the Cervical Spinal Cord
BIAC researchers led by Jonathan Cuthbertson, Trong-Kha Truong, and Dean Darnell from the MR Engineering Lab have developed a wireless integrated parallel reception, excitation, and shimming (iPRES-W) coil array for simultaneous imaging and wireless localized B0 shimming of the spinal cord.
Assessment of brain age in posttraumatic stress disorder: Findings from the ENIGMA PTSD and brain age working groups
Posttraumatic stress disorder (PTSD) is associated with markers of accelerated aging. Estimates of brain age, compared to chronological age, may clarify the effects of PTSD on the brain and may inform treatment approaches targeting the neurobiology of aging in the context of PTSD.
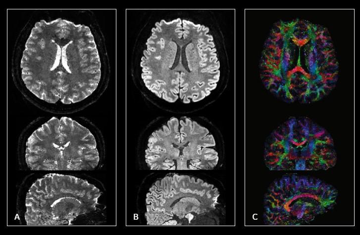
Cortical iron mediates age-related decline in fluid cognition
BIAC researchers (past & present) examine how cortical iron mediates age-related decline in fluid cognition.
GLIS1 regulates trabecular meshwork function and intraocular pressure and is associated with glaucoma in humans
Manuscript titled "GLIS1 regulates trabecular meshwork function and intraocular pressure and is associated with glaucoma in humans” has been published in Nature Communications. Dr. Alexandra Badea was a co-author.
Recent Advances in Radio-Frequency Coil Technologies: Flexible, Wireless, and Integrated Coil Arrays
BIAC researchers Dean Darnell, Trong-Kha Truong, and Allen Song have published a review article on recent advances in flexible, wireless, and integrated radio-frequency coil arrays.
Two Blues Join Forces to Fight Alzheimer’s Disease
BIAC Faculty Drs. Heather Whitson and Allen Song are collaborating on the Alzheimer’s Disease Research Collaborative (ADRC) project.
Effects of Lifelong Musicianship on White Matter Integrity and Cognitive Brain Reserve
Manuscript titled "Effects of Lifelong Musicianship on White Matter Integrity and Cognitive Brain Reserve” has been published in "A Decade of Brain Sciences." Duke co-authors were E. Andrews, C. Eierud, D. Banks, T. Harshbarger, and A. Michael.
Influence of Structural and Functional Brain Connectivity on Age-Related Differences in Fluid Cognition
Manuscript titled "Influence of Structural and Functional Brain Connectivity on Age-Related Differences in Fluid Cognition” has been published in Neurobiology of Aging. BIAC co-authors were D. Madden, S. Jain, A. Cook, H. Huang, and J. Cohen.
How MUSE is changing diffusion MRI
Check out the recent article "How MUSE is changing diffusion MRI" by BIAC faculty and staff members Dr. Iain Bruce and Christopher Petty in the Autumn 2019 issue of GE Signa Pulse Magazine!